Merrillville, IN
Munster, IN
Blog
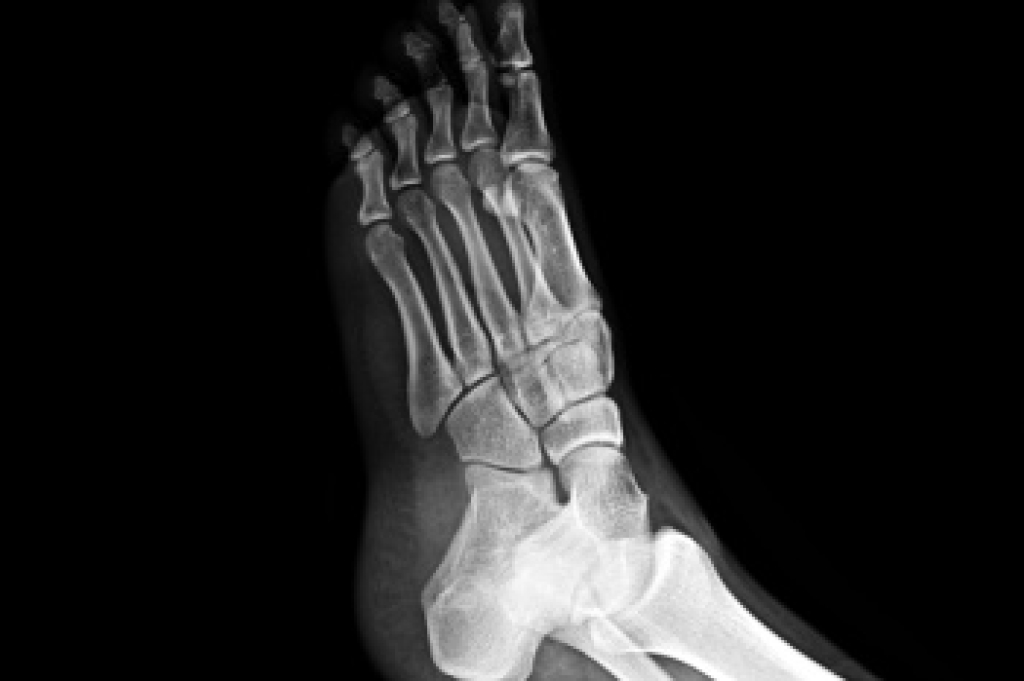
Metatarsal Bone Fractures

Metatarsal bone fractures occur when one of the long bones in the middle of the foot breaks, often from trauma, overuse, or a sudden twist. These fractures can be open, where the bone pierces the skin, or closed, where the skin remains intact. They may also be displaced, meaning the bone pieces are out of alignment, or nondisplaced, where the bone remains properly aligned. A podiatrist can assess the injury through examination and imaging, provide proper immobilization, and recommend treatment to promote healing and prevent long-term complications. Early diagnosis is vital to restoring foot function and mobility. If you have foot pain or feel you may have broken a bone, it is suggested that you promptly visit a podiatrist who can accurately diagnose and treat what is going on.
A broken foot requires immediate medical attention and treatment. If you need your feet checked, contact Ahmad Elsamad, DPM from The Institute of Foot & Ankle Reconstructive Surgery . Our doctor can provide the care you need to keep you pain-free and on your feet.
Broken Foot Causes, Symptoms, and Treatment
A broken foot is caused by one of the bones in the foot typically breaking when bended, crushed, or stretched beyond its natural capabilities. Usually the location of the fracture indicates how the break occurred, whether it was through an object, fall, or any other type of injury.
Common Symptoms of Broken Feet:
- Bruising
- Pain
- Redness
- Swelling
- Blue in color
- Numbness
- Cold
- Misshapen
- Cuts
- Deformities
Those that suspect they have a broken foot shoot seek urgent medical attention where a medical professional could diagnose the severity.
Treatment for broken bones varies depending on the cause, severity and location. Some will require the use of splints, casts or crutches while others could even involve surgery to repair the broken bones. Personal care includes the use of ice and keeping the foot stabilized and elevated.
If you have any questions, please feel free to contact our offices located in Merrillville, and Munster, IN . We offer the newest diagnostic and treatment technologies for all your foot care needs.
Getting Proper Care for Foot Stress Fractures

A foot stress fracture is a small crack in a bone caused by repetitive force or overuse, often seen in athletes or individuals with active jobs. Causes include sudden increases in activity, wearing improper footwear, or weakened bones. Risk factors include osteoporosis, high-impact sports, and poor nutrition. Symptoms may involve localized pain, swelling, and tenderness that worsens with activity. While some people can walk on a stress fracture, doing so may worsen the injury and delay healing. A podiatrist can confirm the diagnosis with imaging, recommend rest or protective footwear, and guide recovery. If you suspect a stress fracture, it is suggested that you consult a podiatrist who can provide appropriate relief and treatment solutions.
Activities where too much pressure is put on the feet can cause stress fractures. To learn more, contact Ahmad Elsamad, DPM from The Institute of Foot & Ankle Reconstructive Surgery . Our doctor can provide the care you need to keep your pain free and on your feet.
Dealing with Stress Fractures of the Foot and Ankle
Stress fractures occur in the foot and ankle when muscles in these areas weaken from too much or too little use. The feet and ankles then lose support when walking or running from the impact of the ground. Since there is no protection, the bones receive the full impact of each step. Stress on the feet can cause cracks to form in the bones, thus creating stress fractures.
What Are Stress Fractures?
Stress fractures occur frequently in individuals whose daily activities cause great impact on the feet and ankles. Stress factors are most common among:
- Runners
- People affected with Osteoporosis
- Tennis or basketball players
- Gymnasts
- High impact workouts
Symptoms
Pain from the fractures occur in the area of the fractures and can be constant or intermittent. It will often cause sharp or dull pain with swelling and tenderness. Engaging in any kind of activity which involves high impact will aggravate pain.
If you have any questions please contact our offices located in Merrillville, and Munster, IN . We offer the newest diagnostic and treatment technologies for all your foot and ankle needs.
Wearing Ill-Fitting Shoes Can Affect Your Toes

Wearing shoes that do not fit properly can put stress on the toes, leading to a range of foot problems. Shoes that are too tight in the toe box may crowd the toes, which can result in corns, calluses, and painful nerve conditions like neuromas. High heels or shoes that elevate the heel significantly can increase pressure on the forefoot, shifting weight onto the toes and altering foot alignment. Over time, this can cause or worsen deformities like hammertoes or bunions. Shoes that are too loose may allow the foot to slide forward, creating friction that can irritate the toes and lead to blisters or toenail damage. A podiatrist can evaluate your foot structure, check for existing damage, and recommend proper footwear or custom orthotics to relieve pressure and prevent further injury. If you are experiencing toe or foot pain, it is suggested that you schedule an appointment with a podiatrist for an exam and treatment options.
Getting the right shoe size is an important part of proper foot health. Seek the assistance of Ahmad Elsamad, DPM from The Institute of Foot & Ankle Reconstructive Surgery . Our doctor will provide the care you need to keep you pain-free and on your feet.
Getting the Right Shoe Size
There are many people who wear shoes that are the incorrect size, negatively affecting their feet and posture. Selecting the right shoes is not a difficult process, so long as you keep several things in mind when it comes to choosing the right pair.
- When visiting the shoe store, use the tools available to measure your foot.
- Be sure there is ‘wiggle room’. There should be about an inch between your toes and the tip of your shoes.
- Do not always assume you are the same size, as manufacturers run differently.
- Purchase shoes later in the day, as your feet swell as the day progresses.
- If a shoe is not comfortable, it is not suitable. Most shoes can’t be ‘broken in’, and comfort should be the ultimate goal when it comes to choosing the right pair of shoes
As our feet hold our body weight and keep us moving, it is important to treat them right. Picking the right pair of shoes can provide your feet comfort and mobility without pain.
If you have any questions, please feel free to contact our offices located in Merrillville, and Munster, IN . We offer the newest diagnostic and treatment technologies for all your foot care needs.
Understanding Plantar Fasciitis

Plantar fasciitis is a common source of heel pain that affects people of all ages. It begins when the thick band of tissue along the bottom of the foot becomes irritated or strained. This often results in sharp pain near the heel, especially in the morning or after long periods of inactivity. Contributing factors may include high arches, flat feet, tight calf muscles, or wearing unsupportive footwear. Left untreated, plantar fasciitis can become a persistent issue that limits mobility and daily comfort. Stretching, wearing supportive shoes, and rest are early steps to reduce symptoms. However, when pain continues or interferes with activity, professional care is important. A podiatrist can provide custom orthotics, therapies, and additional treatment tailored to the individual’s needs. If you are experiencing heel discomfort or changes in your step, a podiatric evaluation is suggested.
Plantar fasciitis can be very painful and inconvenient. If you are experiencing heel pain or symptoms of plantar fasciitis, contact Ahmad Elsamad, DPM from The Institute of Foot & Ankle Reconstructive Surgery . Our doctor can provide the care you need to keep you pain-free and on your feet.
What Is Plantar Fasciitis?
Plantar fasciitis is the inflammation of the thick band of tissue that runs along the bottom of your foot, known as the plantar fascia, and causes mild to severe heel pain.
What Causes Plantar Fasciitis?
- Excessive running
- Non-supportive shoes
- Overpronation
- Repeated stretching and tearing of the plantar fascia
How Can It Be Treated?
- Conservative measures – anti-inflammatories, ice packs, stretching exercises, physical therapy, orthotic devices
- Shockwave therapy – sound waves are sent to the affected area to facilitate healing and are usually used for chronic cases of plantar fasciitis
- Surgery – usually only used as a last resort when all else fails. The plantar fascia can be surgically detached from the heel
While very treatable, plantar fasciitis is definitely not something that should be ignored. Especially in severe cases, speaking to your doctor right away is highly recommended to avoid complications and severe heel pain. Your podiatrist can work with you to provide the appropriate treatment options tailored to your condition.
If you have any questions, please feel free to contact our offices located in Merrillville, and Munster, IN . We offer the newest diagnostic and treatment technologies for all your foot care needs.
Blog Archives
- 2026
- 2025
- 2024
- 2023
- 2022
- 2021
- 2020
- 2019





